Lungröntgen visade tecken till sk. avplanade diafragmavalv. Det betyder att du går med en ökad luftmängd i lungorna som man kan göra vid astma eller vid KOL. Senaste gången vi gjord spirometri visade den bra värden.
Jag har haft långvarig virusinfektion två månader när jag fick en röntgen. Jag har en lindrig astma men inte har rökt eller utsatts för damm osv. Vad betyder detta?
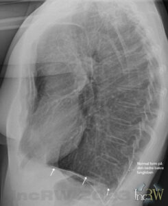
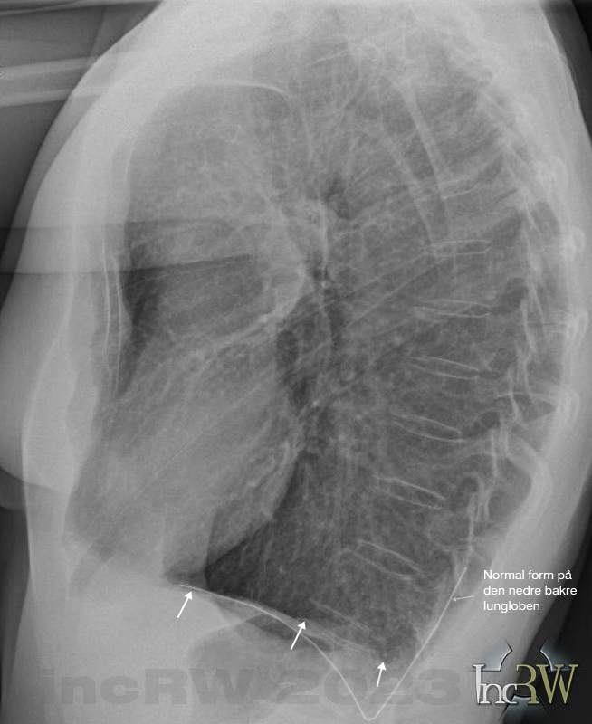
Diafragmans form kan vara olika hos olika individer utan att detta innebär att något är fel. Långa och smala personer har ofta mer utmärkande diafragmavalv med långt bakåtgående lungspetsar (lung-/pleurasinus) än hos överviktiga eller korta personer som får en mer utplanad valv/båge men som trotts detta utgörs av helt friska lungor.
Det förekommer ofta att en lungröntgen ger missvisande fynd av patologi som beror på en dålig inandning vid bildtagningen. En dåligt inandad bild kan medföra att diafragmavalven står högt och ger förtätning av lungvävnad, förstorat hjärta, mm. Vid en ny bild med optimal inandad bild, där diafragman dras ner mot buken bättre, kan röntgenbilden visa helt normala lungor.
Det är således mycket viktigt att dra en djup inandning (som man klarar av) vid lungröntgen för att inte få oklara fynd i röntgenbilderna.
Det finns andra tillfällen, förutom ovan, med friska lungor som visar en mer avplanad diafragma. Gravida kvinnor får ofta en mer avplanad form på diafragmavalven på båda lungorna under senare delen av graviditeten. Thoraxdeformation (skolios) kan ge bilder på lungorna som avviker från normal anatomi. Hög ålder kan ge avvikande anatomi av lungorna. Röntgenbilder av lungorna som tas på sittande patienter ger även missvisande anatomi av diafragmavalven.
Det finns sjukliga tillstånd som kan ge en mer avplanad diafragma eller en minskning av lungspetsen (pleurasinus) på röntgenbilden. Det kan vara vätska i lungsäcken (pleurit), pleuraadherenser1Lungsäcken nere i lungsinus kan växa ihop (pleuraadherens) efter tex. lunginflammation som då kan ses som plan diafragma på den drabbade sidan. Pleuraadherenser brukar dock ge typiska symtom i form av smärta vid andningsrörelser, långvarig hosta, viss andfåddhet, då de båda plaurabladen inte glider fritt mot varandra vid andning. Adherens i lungsinus kan även vara helt symtomfri. , vätska i buken (ascites), meteroism2Uppdriven buk som kan bero på mycket gaser i tarmarna., stor lever eller mjälte eller båda (hepatosplenomegali), fel på nervus phrenicus3Nerv som drar samman diafragmamusklerna vid inandning., lungemboli, subfreniska abscess4Varansamling i bukhålan under diafragman., stor tumör i buken, emfysem samt KOL5Kronisk obstruktiv lungsjukdom som kan innebära andningsbesvär med hosta och ökad slembildning i luftvägarna.. KOL kan även drabba icke rökande personer pga. passiv rökning, exponering av gaser/irriterande ämnen (i arbetet, etc.) och tidigare lunginflammation, mm. Vid uttalad emfysem kan man ibland även se att bröstkorgen tar en ”tunnliknande form”, som kan ses på sidobilden, med en ökad mängd luftförande vävnad bakom bröstbenet samt ofta med ett litet hjärta.
Man kan missa vätska i lungsäcken som visuellt normalt ger mer rundad lungspets men kan se ut som utplanad diafragma på bilderna om en konventionell röntgen av lungorna enbart görs stående.
Vid bronkial astma ser lungröntgen oftast helt normal ut. Detsamma gäller vid hälften av fallen vid kronisk bronkit, som kan vara en följdsjukdom till astma, där konventionella röntgen av lungor inte tillför någon diagnostik och på andra hälften ses ärrbildning (förtätningar) efter tidigare infektioner. Dessa sjukdomar ger själv sällan någon påverkan på diafragma.
K.T. rtgssk
Röntgen Helsingborg


Hanteringen av cookies på denna webbplats är densamma som för våra andra webbplatser. Har du kommit till någon av våra andra webbplatser via en söktjänst får du även denna information om cookies där.
Ingen kommentar än