Min son bröt armbågen för 4 veckor sen och röntgades upprepade gånger under 2 dagar inför operation.
Jag var med i rummet alla gånger med skyddsförkläde på mig och backade flera meter, dock bad röntgensjuksköterskan mig vid flertal tillfällen att hålla i sonens arm.
Hur skadligt blev detta för mig och sonen? Blev skyddsförklädet för min del helt förgäves när jag höll i den kroppsdel som röntgades?
När barn röntgas är det av mycket stor betydelse om en förälder kan medverka vid undersökningen. Barnet blir oftast lugn och risken för att behöva ta om en eller flera röntgenbilder, som blir oskarpa av rörelser, minskar vilket är till fördel för barnet som blir röntgad.
En förälder som står bredvid med blyskydd får en röntgenbestrålning som räknas som försumbart då den sekundärstrålning som sprider sig i rummet vid röntgen av en liten armbåge är minimal oavsett hur nära en annan närvarande person står barnet. Den primära röntgenbestrålningen bländas in och träffar enbart objektet.
Är modern däremot gravid bör pappan eller annan närstående vara med vid röntgenundersökningarna om så är möjligt.
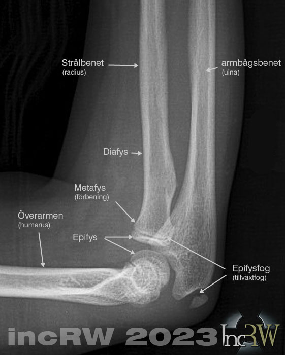
En armbågsskada hos barn som växer måste kartläggas noggrant. I stort alla benändar på barnskelettet har en tillväxtzon som kan lossna (disloseras) eller vars frakturbrott i epikondylen medför risk för nedsatt rörlighet i leden eller deformitet (felställning) i armbågen om en skada får läka fel. En fraktur genom epifysfogen kan påverka tillväxten av ben i armbågen då små blodkärl härigenom kan ta skada.
Komplexa armbågsfrakturer med benfragment som involverar ledytor eller misstänkt avlösning av epifysen kan även ibland behöva undersökas med datortomografi (CT).
Således är det mycket viktigt att kartlägga en armbågsfraktur på ett barn mycket noggrant inför ev. operation med fixering av olika skelettstrukturer samt efter operationen. Din son kommer initialt att röntgas fortlöpande under läkningsprocessen för att kontrollera att läkningen fortgår problemfritt.
Så för dig och din son har dessa röntgenundersökningar ingen betydelse vad gäller röntgenbestrålningen.
K.T. rtgssk
Röntgen Helsingborg


Hanteringen av cookies på denna webbplats är densamma som för våra andra webbplatser. Har du kommit till någon av våra andra webbplatser via en söktjänst får du även denna information om cookies där.
Ingen kommentar än