Bildarkiv www.rontgen.com - 18a Lungorna kvinna 52 år < Lungor < Konventionell röntgen < Röntgen Arkivet
Du är här: Röntgen Arkivet > Konventionell röntgen > Lungor > 18a Lungorna kvinna 52 år

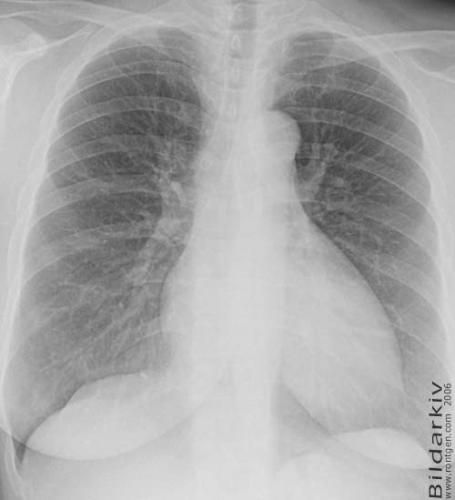
18a Lungorna kvinna 52 år

Datum:
090326
Plats:
Röntgenavdelningen helsingborgs Lasarett
Beskrivning:
Frontal bild av lungorna på 52 årig kvinna.
Kamera info:
Konventionell röntgen
Visat:
2598 times
17b Lungorna man 51 år 18a Lungorna kvinna 52 år 20a Lungorna man 77 år

Föregående    Minibilder    Nästa

Bilderna i bildarkivet får ej användas och anges som egen produktion. Får fritt användas i undervisningssyfte.
För mer information kontakta info@rontgen.com :: Röntgen Arkivet från www.rontgen.com :: 1998 - 2009