Bildarkiv www.rontgen.com - 9e < Posterutställning av Catherine Olsson < Ultraljud < Röntgen Arkivet

9e

av Catherine Olsson, sonograf

Beskrivning:
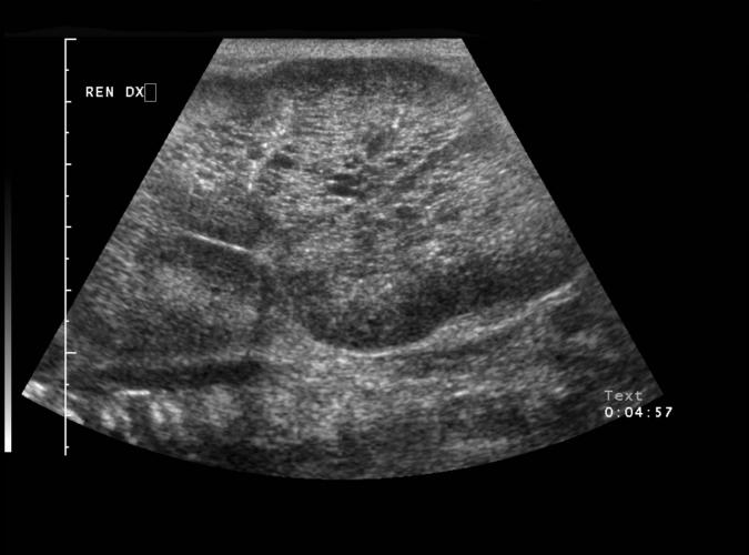
Patologi.
Long. Höger njure
Nyfödd med bilateral polycystiska njure,10cm lång.
...se bild 9f.
Copyright:
Catherine Olsson, sonograf
Visat:
1066 times
9d av Catherine Olsson, sonograf 9e av Catherine Olsson, sonograf 9f av Catherine Olsson, sonograf

Föregående    Minibilder    Nästa

Bilderna i bildarkivet får ej användas och anges som egen produktion. Får fritt användas i undervisningssyfte.
För mer information kontakta info@rontgen.com :: Röntgen Arkivet från www.rontgen.com :: 1998 - 2009