Bildarkiv www.rontgen.com - 9s < Posterutställning av Catherine Olsson < Ultraljud < Röntgen Arkivet

9s

av Catherine Olsson, sonograf

Beskrivning:
Patologi.
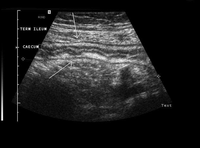
Frågeställning GB stenar. Ultraljud visas gallstenar men
dessutom en gastom, väggförtjockad term ileum och föreslår
Crohns sjukdom. Enterografi bekräftar fyndet.
Copyright:
Catherine Olsson, sonograf
Visat:
1009 times
9r av Catherine Olsson, sonograf 9s av Catherine Olsson, sonograf 9t av Catherine Olsson, sonograf

Föregående    Minibilder    Nästa

Bilderna i bildarkivet får ej användas och anges som egen produktion. Får fritt användas i undervisningssyfte.
För mer information kontakta info@rontgen.com :: Röntgen Arkivet från www.rontgen.com :: 1998 - 2009