Bildarkiv www.rontgen.com - 9o < Posterutställning av Catherine Olsson < Ultraljud < Röntgen Arkivet

9o

av Catherine Olsson, sonograf

Beskrivning:
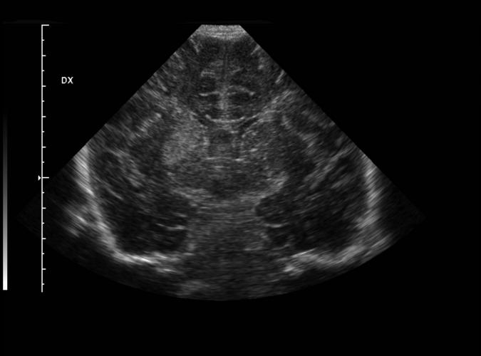
Patologi.
Barnskalle. Född vecka 40, asfyxi.
Högersidigt ekorikt område som tolkas som ischemi.
Copyright:
Catherine Olsson, sonograf
Visat:
990 times
9n av Catherine Olsson, sonograf 9o av Catherine Olsson, sonograf 9p av Catherine Olsson, sonograf

Föregående    Minibilder    Nästa

Bilderna i bildarkivet får ej användas och anges som egen produktion. Får fritt användas i undervisningssyfte.
För mer information kontakta info@rontgen.com :: Röntgen Arkivet från www.rontgen.com :: 1998 - 2009