Bildarkiv www.rontgen.com - 9i < Posterutställning av Catherine Olsson < Ultraljud < Röntgen Arkivet

9i

av Catherine Olsson, sonograf

Beskrivning:
Patologi.
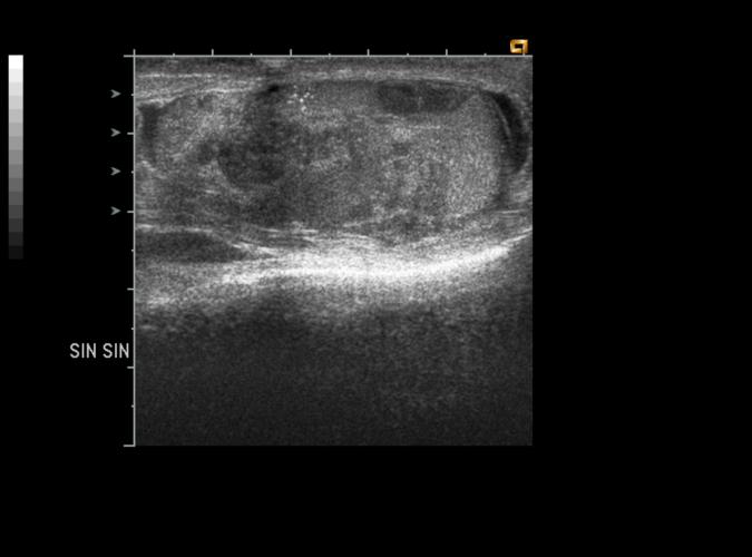
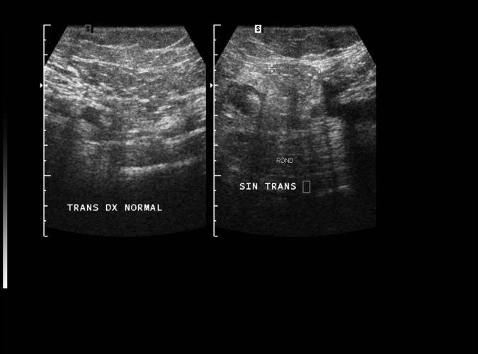
Long. 45årig med vänstersidig testistumör.
Copyright:
Catherine Olsson, sonograf
Visat:
954 times
9h av Catherine Olsson, sonograf 9i av Catherine Olsson, sonograf 9j av Catherine Olsson, sonograf

Föregående    Minibilder    Nästa

Bilderna i bildarkivet får ej användas och anges som egen produktion. Får fritt användas i undervisningssyfte.
För mer information kontakta info@rontgen.com :: Röntgen Arkivet från www.rontgen.com :: 1998 - 2009