Bildarkiv www.rontgen.com - 9m < Posterutställning av Catherine Olsson < Ultraljud < Röntgen Arkivet

9m

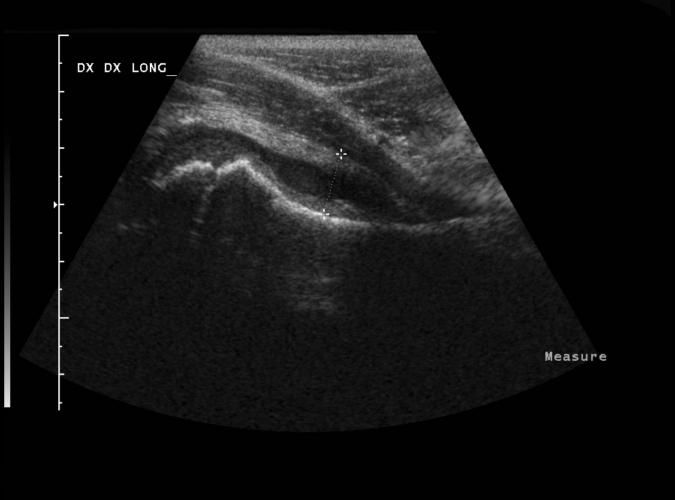
av Catherine Olsson, sonograf

Beskrivning:
Patologi.
Coxit.
Long, höger höftled.
Copyright:
Catherine Olsson, sonograf
Visat:
982 times
9l av Catherine Olsson, sonograf 9m av Catherine Olsson, sonograf 9n av Catherine Olsson, sonograf

Föregående    Minibilder    Nästa

Bilderna i bildarkivet får ej användas och anges som egen produktion. Får fritt användas i undervisningssyfte.
För mer information kontakta info@rontgen.com :: Röntgen Arkivet från www.rontgen.com :: 1998 - 2009