Bildarkiv www.rontgen.com - 9p < Posterutställning av Catherine Olsson < Ultraljud < Röntgen Arkivet

9p

av Catherine Olsson, sonograf

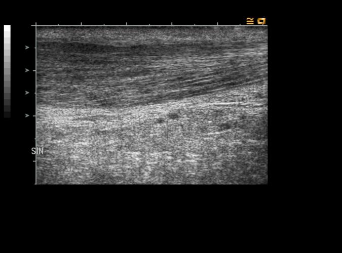
Beskrivning:
Patologi.
Long.vänster hälsena.
Kronisk tendinos/tendinit. se bild 9q
Copyright:
Catherine Olsson, sonograf
Visat:
907 times
9o av Catherine Olsson, sonograf 9p av Catherine Olsson, sonograf 9q av Catherine Olsson, sonograf

Föregående    Minibilder    Nästa

Bilderna i bildarkivet får ej användas och anges som egen produktion. Får fritt användas i undervisningssyfte.
För mer information kontakta info@rontgen.com :: Röntgen Arkivet från www.rontgen.com :: 1998 - 2009