Bildarkiv www.rontgen.com - 4b < Posterutställning av Catherine Olsson < Ultraljud < Röntgen Arkivet

4b

av Catherine Olsson, sonograf

Beskrivning:
Patologi.
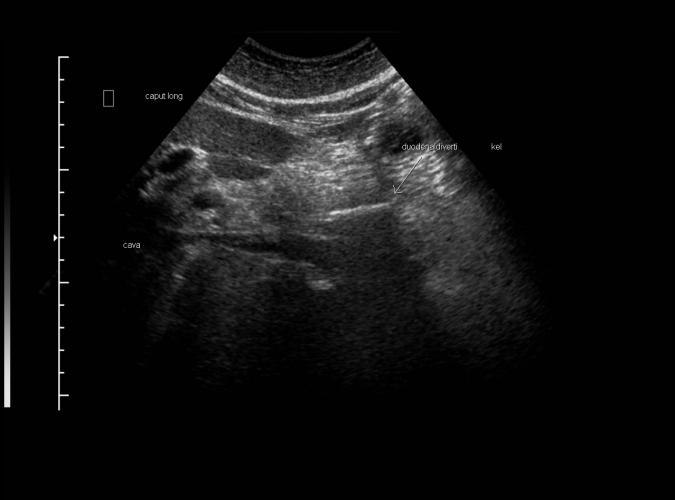
Long. Caput pancreas med duodenaldivertikel (linjärt eko markerat med pil) Trans bild 4a, 4c
Copyright:
Catherine Olsson, sonograf
Visat:
1358 times
4a av  Catherine Olsson, sonograf 4b av  Catherine Olsson, sonograf 4c av Catherine Olsson, sonograf

Föregående    Minibilder    Nästa

Bilderna i bildarkivet får ej användas och anges som egen produktion. Får fritt användas i undervisningssyfte.
För mer information kontakta info@rontgen.com :: Röntgen Arkivet från www.rontgen.com :: 1998 - 2009