Bildarkiv www.rontgen.com - 4a < Posterutställning av Catherine Olsson < Ultraljud < Röntgen Arkivet

4a

av Catherine Olsson, sonograf

Beskrivning:
Patologi.
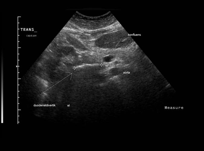
Patienten klagar över tidig mättnadskänsla och "klump i magen". Ultraljud visar enbart duodenaldivertikel (DD).
Trans. caput pancreas med DD mellan kryssen...se bild 4b, 4c
Copyright:
Catherine Olsson, sonograf
Visat:
1205 times
3d av  Catherine Olsson, sonograf 4a av  Catherine Olsson, sonograf 4b av  Catherine Olsson, sonograf

Föregående    Minibilder    Nästa

Bilderna i bildarkivet får ej användas och anges som egen produktion. Får fritt användas i undervisningssyfte.
För mer information kontakta info@rontgen.com :: Röntgen Arkivet från www.rontgen.com :: 1998 - 2009