Bildarkiv www.rontgen.com - 7a < Posterutställning av Catherine Olsson < Ultraljud < Röntgen Arkivet

7a

av Catherine Olsson, sonograf

Beskrivning:
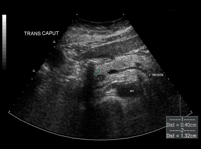
Patologi.
Trans.caput pancreas med liten lågekogen tumör. PAD adenocarcinom . Whipple op. Se long.bild 7b.
Copyright:
Catherine Olsson, sonograf
Visat:
1101 times
6b av  Catherine Olsson, sonograf 7a av Catherine Olsson, sonograf 7b av  Catherine Olsson, sonograf

Föregående    Minibilder    Nästa

Bilderna i bildarkivet får ej användas och anges som egen produktion. Får fritt användas i undervisningssyfte.
För mer information kontakta info@rontgen.com :: Röntgen Arkivet från www.rontgen.com :: 1998 - 2009