Bildarkiv www.rontgen.com - 7b < Posterutställning av Catherine Olsson < Ultraljud < Röntgen Arkivet

7b

av Catherine Olsson, sonograf

Beskrivning:
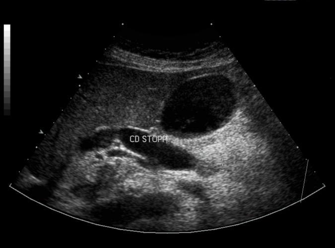
Patologi.
Samma patient som i bild 7a. Long bild av tumören i caput pancreas som stryper ductus choledochus. Whipple.op adenocarcinom
Copyright:
Catherine Olsson, sonograf
Visat:
1113 times
7a av Catherine Olsson, sonograf 7b av  Catherine Olsson, sonograf 8a av  Catherine Olsson, sonograf

Föregående    Minibilder    Nästa

Bilderna i bildarkivet får ej användas och anges som egen produktion. Får fritt användas i undervisningssyfte.
För mer information kontakta info@rontgen.com :: Röntgen Arkivet från www.rontgen.com :: 1998 - 2009