Bildarkiv www.rontgen.com - 9v < Posterutställning av Catherine Olsson < Ultraljud < Röntgen Arkivet

9v

av Catherine Olsson, sonograf

Beskrivning:
Patologi.
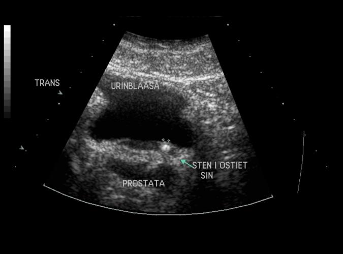
Trotts en normal vänster njure, påvisas ultraljud ett konkrement in till vänstra ostiet.
Trans.urinblåsa. Samma patient som i 9u
Copyright:
Catherine Olsson, sonograf
Visat:
1147 times

Bilderna i bildarkivet får ej användas och anges som egen produktion. Får fritt användas i undervisningssyfte.
För mer information kontakta info@rontgen.com :: Röntgen Arkivet från www.rontgen.com :: 1998 - 2009