Bildarkiv www.rontgen.com - 9u < Posterutställning av Catherine Olsson < Ultraljud < Röntgen Arkivet

9u

av Catherine Olsson, sonograf

Beskrivning:
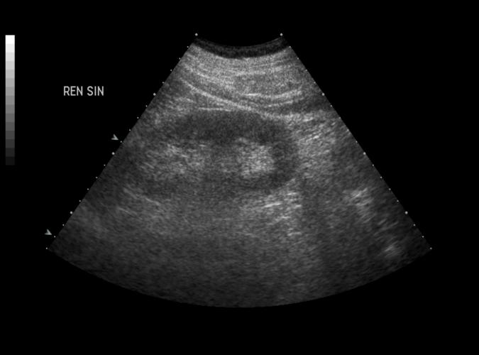
Patologi.
Akut patient med vänstersidiga flanksmärtor. Long.normal vänster njure......ändå konkrement intill vänstra ostiet.(se nästa bild 9v)
Copyright:
Catherine Olsson, sonograf
Visat:
1012 times
9t av Catherine Olsson, sonograf 9u av Catherine Olsson, sonograf 9v av Catherine Olsson, sonograf

Föregående    Minibilder    Nästa

Bilderna i bildarkivet får ej användas och anges som egen produktion. Får fritt användas i undervisningssyfte.
För mer information kontakta info@rontgen.com :: Röntgen Arkivet från www.rontgen.com :: 1998 - 2009