Bildarkiv www.rontgen.com - 8b < Posterutställning av Catherine Olsson < Ultraljud < Röntgen Arkivet

8b

av Catherine Olsson, sonograf

Beskrivning:
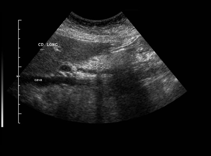
Patologi.
Post cholecystektomi patient. Normalvid gallgång i leverhilus (8a)...ändå choledochuskonkrement. Konkrement mellan kryssen. ERCP bekräftar.
Copyright:
Catherine Olsson, sonograf
Visat:
1233 times
8a av  Catherine Olsson, sonograf 8b av  Catherine Olsson, sonograf 9 av Catherine Olsson, sonograf

Föregående    Minibilder    Nästa

Bilderna i bildarkivet får ej användas och anges som egen produktion. Får fritt användas i undervisningssyfte.
För mer information kontakta info@rontgen.com :: Röntgen Arkivet från www.rontgen.com :: 1998 - 2009