Bildarkiv www.rontgen.com - 8a < Posterutställning av Catherine Olsson < Ultraljud < Röntgen Arkivet

8a

av Catherine Olsson, sonograf

Beskrivning:
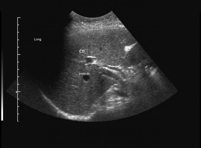
Patologi.
Post cholecystektomi patient. (a)Normalvid gallgång i leverhilus. Common duct (CD), ändå finns en choledochuskonkrement ..se bild 8b.
Copyright:
Catherine Olsson, sonograf
Visat:
1146 times
7b av  Catherine Olsson, sonograf 8a av  Catherine Olsson, sonograf 8b av  Catherine Olsson, sonograf

Föregående    Minibilder    Nästa

Bilderna i bildarkivet får ej användas och anges som egen produktion. Får fritt användas i undervisningssyfte.
För mer information kontakta info@rontgen.com :: Röntgen Arkivet från www.rontgen.com :: 1998 - 2009