Bildarkiv www.rontgen.com - 6b < Posterutställning av Catherine Olsson < Ultraljud < Röntgen Arkivet

6b

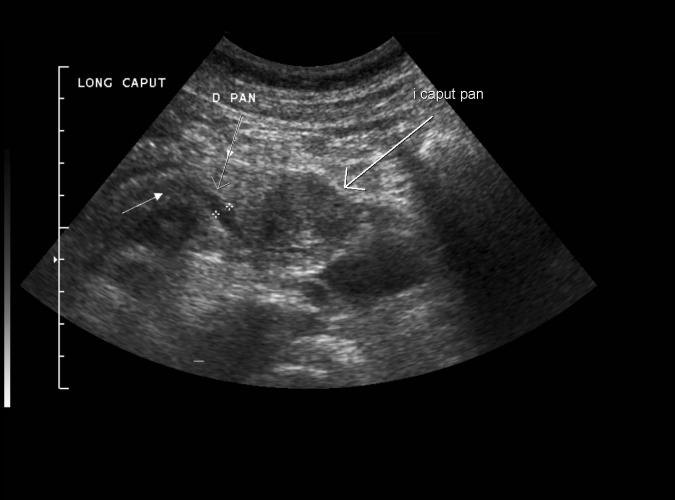
av Catherine Olsson, sonograf

Beskrivning:
Patologi.
Samma patient som i 29a. Long. lågekogen tumör i caput pancreas i en 48årig. Whipple op.adenocarcinom ..se long. bild 6a.
Copyright:
Catherine Olsson, sonograf
Visat:
1219 times
6a av  Catherine Olsson, sonograf 6b av  Catherine Olsson, sonograf 7a av Catherine Olsson, sonograf

Föregående    Minibilder    Nästa

Bilderna i bildarkivet får ej användas och anges som egen produktion. Får fritt användas i undervisningssyfte.
För mer information kontakta info@rontgen.com :: Röntgen Arkivet från www.rontgen.com :: 1998 - 2009