Bildarkiv www.rontgen.com - 9k < Posterutställning av Catherine Olsson < Ultraljud < Röntgen Arkivet

9k

av Catherine Olsson, sonograf

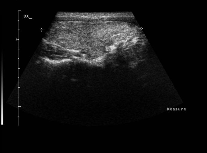
Beskrivning:
Patologi.
Long. höger thyroidealob.
"Klassisk Hashimotothyroidit" ..se bild 9l
Copyright:
Catherine Olsson, sonograf
Visat:
1065 times
9j av Catherine Olsson, sonograf 9k av Catherine Olsson, sonograf 9l av Catherine Olsson, sonograf

Föregående    Minibilder    Nästa

Bilderna i bildarkivet får ej användas och anges som egen produktion. Får fritt användas i undervisningssyfte.
För mer information kontakta info@rontgen.com :: Röntgen Arkivet från www.rontgen.com :: 1998 - 2009