Bildarkiv www.rontgen.com - 5 < Posterutställning av Catherine Olsson < Ultraljud < Röntgen Arkivet

5

av Catherine Olsson, sonograf

Beskrivning:
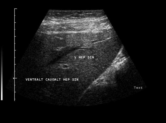
Patologi.
Patient med förhöjda leverprover. Hemangiom-liknande förändring ventralt i levern. Diagnosen bekräftades senare med kontrastförstarkt ultraljud.
Copyright:
Catherine Olsson, sonograf
Visat:
1243 times
4c av Catherine Olsson, sonograf 5 av  Catherine Olsson, sonograf 6a av  Catherine Olsson, sonograf

Föregående    Minibilder    Nästa

Bilderna i bildarkivet får ej användas och anges som egen produktion. Får fritt användas i undervisningssyfte.
För mer information kontakta info@rontgen.com :: Röntgen Arkivet från www.rontgen.com :: 1998 - 2009