Bildarkiv www.rontgen.com - 9c < Posterutställning av Catherine Olsson < Ultraljud < Röntgen Arkivet

9c

av Catherine Olsson, sonograf

Beskrivning:
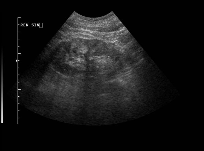
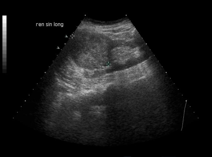
Patologi.
Long. vänster njure. Adenocarcinom utan påverkan på
njurkonturen.
Copyright:
Catherine Olsson, sonograf
Visat:
1085 times
9b av Catherine Olsson, sonograf 9c av Catherine Olsson, sonograf 9d av Catherine Olsson, sonograf

Föregående    Minibilder    Nästa

Bilderna i bildarkivet får ej användas och anges som egen produktion. Får fritt användas i undervisningssyfte.
För mer information kontakta info@rontgen.com :: Röntgen Arkivet från www.rontgen.com :: 1998 - 2009