Bildarkiv www.rontgen.com - 2h < Posterutställning av Catherine Olsson < Ultraljud < Röntgen Arkivet

2h

av Catherine Olsson, sonograf

Beskrivning:
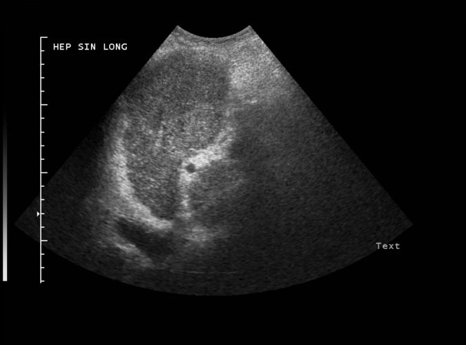
Patologi.
Diskret fokal förändring ventralt i vänster leverlob hos en
patient med levercirrhos. Vidare utredning visade hepatocellulär cancer...se trans. bild 2i
Copyright:
Catherine Olsson, sonograf
Visat:
1102 times
2g av Catherine Olsson, sonograf 2h av  Catherine Olsson, sonograf 2i av  Catherine Olsson, sonograf

Föregående    Minibilder    Nästa

Bilderna i bildarkivet får ej användas och anges som egen produktion. Får fritt användas i undervisningssyfte.
För mer information kontakta info@rontgen.com :: Röntgen Arkivet från www.rontgen.com :: 1998 - 2009