Bildarkiv www.rontgen.com - 3d < Posterutställning av Catherine Olsson < Ultraljud < Röntgen Arkivet

3d

av Catherine Olsson, sonograf

Beskrivning:
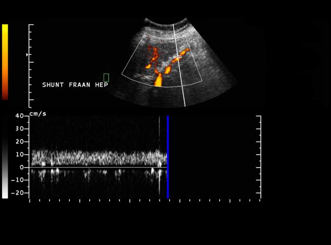
Patologi.
Long. vänster leverlob.
Spektral-Doppler visar blodflöde riktat från levern, som vid portal hypertension i patienten 3a,b,c med biliär cirrhos.
Copyright:
Catherine Olsson, sonograf
Visat:
1059 times
3c av Catherine Olsson, sonograf 3d av  Catherine Olsson, sonograf 4a av  Catherine Olsson, sonograf

Föregående    Minibilder    Nästa

Bilderna i bildarkivet får ej användas och anges som egen produktion. Får fritt användas i undervisningssyfte.
För mer information kontakta info@rontgen.com :: Röntgen Arkivet från www.rontgen.com :: 1998 - 2009