Bildarkiv www.rontgen.com - 3c < Posterutställning av Catherine Olsson < Ultraljud < Röntgen Arkivet

3c

av Catherine Olsson, sonograf

Beskrivning:
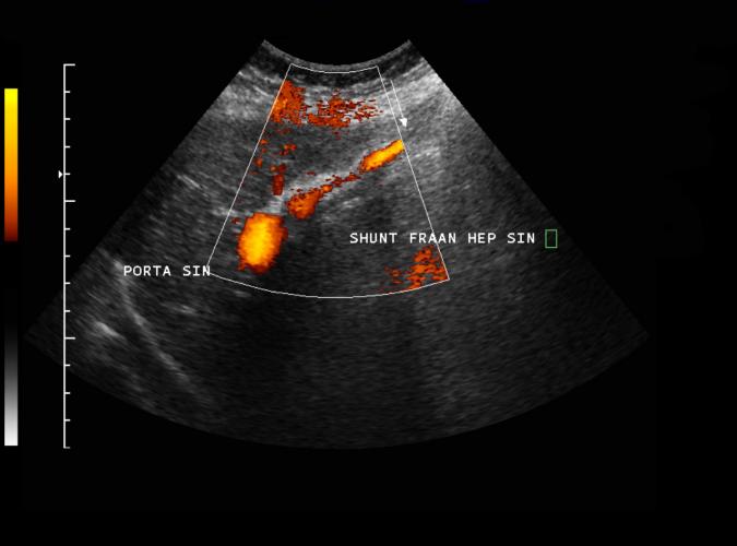
Patologi.
Long. vänster leverlob. Med power-Doppler påvisas shuntning igenom vena umbilicalis i patienten med biliär cirrhos.(3a,b,d)
Copyright:
Catherine Olsson, sonograf
Visat:
996 times
3b av Catherine Olsson, sonograf 3c av Catherine Olsson, sonograf 3d av  Catherine Olsson, sonograf

Föregående    Minibilder    Nästa

Bilderna i bildarkivet får ej användas och anges som egen produktion. Får fritt användas i undervisningssyfte.
För mer information kontakta info@rontgen.com :: Röntgen Arkivet från www.rontgen.com :: 1998 - 2009