Bildarkiv www.rontgen.com - 3a < Posterutställning av Catherine Olsson < Ultraljud < Röntgen Arkivet

3a

av Catherine Olsson, sonograf

Beskrivning:
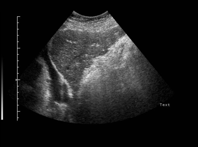
Patologi.
Long. Lågekogen, skrumpen vänster leverlob med oregelbundna kanter. Bild som med resten av leverbilder 3b,c,d.talar för biliär cirrhos
Copyright:
Catherine Olsson, sonograf
Visat:
1132 times
2i av  Catherine Olsson, sonograf 3a av  Catherine Olsson, sonograf 3b av Catherine Olsson, sonograf

Föregående    Minibilder    Nästa

Bilderna i bildarkivet får ej användas och anges som egen produktion. Får fritt användas i undervisningssyfte.
För mer information kontakta info@rontgen.com :: Röntgen Arkivet från www.rontgen.com :: 1998 - 2009