Bildarkiv www.rontgen.com - 3b < Posterutställning av Catherine Olsson < Ultraljud < Röntgen Arkivet

3b

av Catherine Olsson, sonograf

Beskrivning:
Patologi.
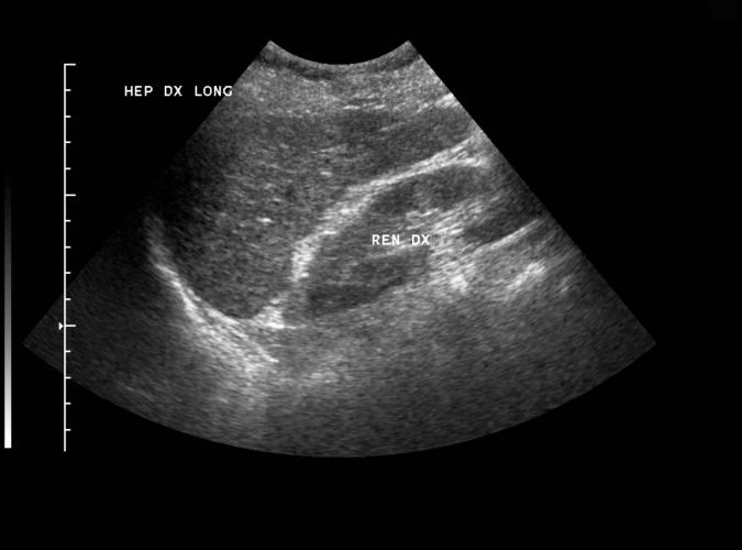
Long. Lågekogen, skrumpen höger leverlob med oregelbundna kanter. Bild som tillsammans med bild 3a,b,c,d talar för
biliär cirrhos
Copyright:
Catherine Olsson, sonograf
Visat:
1062 times
3a av  Catherine Olsson, sonograf 3b av Catherine Olsson, sonograf 3c av Catherine Olsson, sonograf

Föregående    Minibilder    Nästa

Bilderna i bildarkivet får ej användas och anges som egen produktion. Får fritt användas i undervisningssyfte.
För mer information kontakta info@rontgen.com :: Röntgen Arkivet från www.rontgen.com :: 1998 - 2009