Bildarkiv www.rontgen.com - 2g < Posterutställning av Catherine Olsson < Ultraljud < Röntgen Arkivet

2g

av Catherine Olsson, sonograf

Beskrivning:
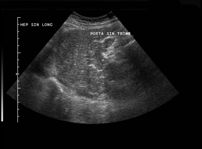
Patologi.
Long vänster leverlob. Trombotiserad porta sinister
Copyright:
Catherine Olsson, sonograf
Visat:
1139 times
2f av  Catherine Olsson, sonograf 2g av Catherine Olsson, sonograf 2h av  Catherine Olsson, sonograf

Föregående    Minibilder    Nästa

Bilderna i bildarkivet får ej användas och anges som egen produktion. Får fritt användas i undervisningssyfte.
För mer information kontakta info@rontgen.com :: Röntgen Arkivet från www.rontgen.com :: 1998 - 2009