Bildarkiv www.rontgen.com - Urografi 6 < Urografi < Konventionell röntgen < Röntgen Arkivet
Du är här: Röntgen Arkivet > Konventionell röntgen > Urografi > Urografi 6

Urografi 6

Datum:
051021
Plats:
Röntgenavdelningen Helsingborgs lasarett
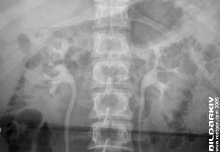
Beskrivning:
Frontal bild båda njurarna 5 minuter efter kontrast injektion.
Kamera info:
Konventionell röntgen
Copyright:
www.rontgen.com 2005
Visat:
2044 times
Urografi 5 Urografi 6 Urografi 7

Föregående    Minibilder    Nästa

Bilderna i bildarkivet får ej användas och anges som egen produktion. Får fritt användas i undervisningssyfte.
För mer information kontakta info@rontgen.com :: Röntgen Arkivet från www.rontgen.com :: 1998 - 2009