Bildarkiv www.rontgen.com - Thorax 53 < Thorax < CT < Röntgen Arkivet
Du är här: Röntgen Arkivet > CT > Thorax > Thorax 53

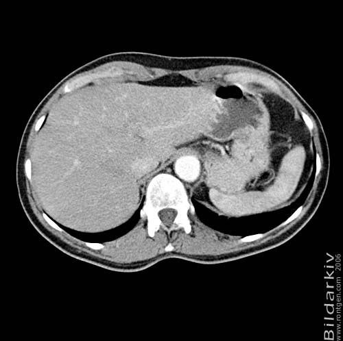
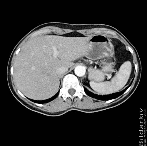
Thorax 53

Datum:
140120
Beskrivning:
Snitt över thorax med kontrast. Sk. mediastinum-fönstersättning.
Kamera info:
CT Röntgen Helsingborgs lasarett
Digital manipulering:
Mediastinum
Visat:
666 times
Thorax 52 Thorax 53 Thorax 54

Föregående    Minibilder    Nästa

Bilderna i bildarkivet får ej användas och anges som egen produktion. Får fritt användas i undervisningssyfte.
För mer information kontakta info@rontgen.com :: Röntgen Arkivet från www.rontgen.com :: 1998 - 2009