Bildarkiv www.rontgen.com - CT colon 35 < Tjocktarm, coronar bildserie < CT < Röntgen Arkivet
Du är här: Röntgen Arkivet > CT > Tjocktarm, coronar bildserie > CT colon 35

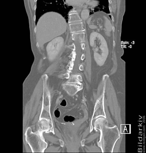
CT colon 35

Datum:
060912
Plats:
Röntgenavdelningen
Beskrivning:
Datortomografi av tjocktarmen (colon) med infunderad luft i tarmen samt med kontrast i blodbanan. Koronar bildserie.
Kamera info:
CT multislice 16
Visat:
1495 times
CT colon 34 CT colon 35 CT colon 36

Föregående    Minibilder    Nästa

Bilderna i bildarkivet får ej användas och anges som egen produktion. Får fritt användas i undervisningssyfte.
För mer information kontakta info@rontgen.com :: Röntgen Arkivet från www.rontgen.com :: 1998 - 2009