Bildarkiv www.rontgen.com - CT colon 20 < Tjocktarm, coronar bildserie < CT < Röntgen Arkivet
Du är här: Röntgen Arkivet > CT > Tjocktarm, coronar bildserie > CT colon 20

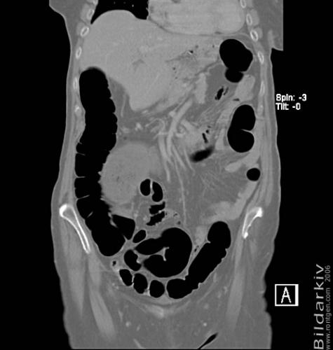
CT colon 20

Datum:
060912
Plats:
Röntgenavddelningen Helsingborgs lasarett
Beskrivning:
Datortomografi av tjocktarmen (colon) med infunderad luft i tarmen samt med kontrast i blodbanan. Koronar bildserie.
Kamera info:
CT multislice 16
Visat:
1866 times
CT colon 19 CT colon 20 CT colon 21

Föregående    Minibilder    Nästa

Bilderna i bildarkivet får ej användas och anges som egen produktion. Får fritt användas i undervisningssyfte.
För mer information kontakta info@rontgen.com :: Röntgen Arkivet från www.rontgen.com :: 1998 - 2009